Giải SBT KHTN 6 bài 21: Thực hành Quan sát và phân biệt một số loại tế bào
Giải SBT KHTN 6 bài 21: Thực hành Quan sát và phân biệt một số loại tế bào có đáp án chi tiết cho từng câu hỏi chương trình sách mới. Thông qua đây các em học sinh đối chiếu với lời giải của mình, hoàn thành bài tập hiệu quả.
>> Bài trước: Giải SBT KHTN 6 bài 20: Sự lớn lên và sinh sản của tế bào
Bài 21: Thực hành Quan sát và phân biệt một số loại tế bào
Chuyên mục KHTN lớp 6 Kết nối tri thức đầy đủ đáp án trọn bộ cả năm học SGK Khoa học tự nhiên 6 sách. Sau đây là Lời giải chi tiết sách bài tập khtn 6 kết nối tri thức bài 21.
SBT KHTN 6 trang 35 Câu 21.1
Những thiết bị, dụng cụ nào cần thiết cho việc làm tiêu bản và quan sát tế bào biểu bì hành tây và tế bào trứng cá.
A. Kính hiển vi.
B. Thìa inox.
C. Dao nhọn.
D. Giấy khổ A4.
E. Giấy thấm.
G. Kính núp.
H. Nước cất
I. Dao mổ.
K. Ống nhỏ giọt.
L. Đĩa petri.
M. Kim mũi mác.
N. Lam kính.
O. Thuốc nhuộm.
P. Lamen.
Đáp án
Những thiết bị, dụng cụ cần thiết là: kính hiển vi, kính lúp, nước cất, đĩa petri, giấy thấm, lamen, lam kính, ống nhỏ giọt, kim mũi mác, thì inox, dao mổ.
SBT KHTN 6 trang 35 Câu 21.2
Sắp xếp các hoạt động thành các bước đúng của một quy trình làm tiêu bản để quan sát các loại tế bào sau:
*) Tế bào biểu bì hành tây
a) Đặt lam kính lên bàn kính của kính hiển vi và qua sát ở vật kính 10x rồi chuyển sang vật kính 40x.
b) Đùng dao mổ tách lấy một vảy hành, sau đó tạo một vết cắt hình vuông nhỏ kích thước 7-8 mm ở mặt trong của vảy hành. Sử dụng kim mũi mác lột nhẹ lớp tế bào trên cùng của vết cắt (lớp tế bào biểu bì).
c) Đặt lớp tế bào lên lam kính đã nhỏ sãn một giọt nước cất rồi đậy lamen lại bằng cách trượt lamen từ một cạnh. Sử dụng thấm để thấm nước thừa.
*) Tế bào biểu trứng cá
a) dùng lim mũi mác khoắng nhẹ để trứng cá tách rời nhau.
b) Nhỏ một ít nước vào đĩa.
c) Dùng thìa lấy một ít trứng cá cho vào đĩa peptri.
Hướng dẫn
1. Làm tiêu bản, quan sát và vẽ tế bào biểu bì hành tây
- Bước 1: Dùng dao mổ tách lấy một vảy hành, sau đó tạo một vết cắt hình vuông nhỏ kích thước 7-8 mm ở mặt trong của vảy hành. Sử dụng panh/kim mũi mác lột nhẹ lớp tế bào trên cùng của vết cắt (lớp tế bào biểu bì).
- Bước 2: Đặt lớp tế bào này lên lam kính đã nhỏ sẵn một giọt nước cất rồi đậy lamen lại bằng cách trượt lamen từ một cạnh Sử dụng giấy thấm để thấm phần nước thừa.
- Bước 3: Đặt lam kính lên bàn kính của kính hiển vi và quan sát ở vật kính 10x rồi chuyển sang vật kính 40x.
2. Quan sát và vẽ tế bào trứng cá
- Bước 1: Dùng thìa lấy một ít trứng cá cho vào đĩa peptri.
- Bước 2: Nhỏ một ít nước vào đĩa.
- Bước 3: Dùng kim mũi mác khoắng nhẹ để trứng cá tách rời nhau.
- Bước 4: Quan sát tế bào trứng cá bằng mắt thường hoặc bằng kính lúp.
- Bước 5: Vẽ hình tế bào em quan sát được.
Đáp án
Tế bào biểu bì hành tây: bước 1-b; bước 2-c; bước 3-a
Tế bào biểu trứng cá: bước 1-d; bước 2-b; bước 3-a; bước 4-c
SBT KHTN 6 trang 36 Câu 21.3
Hãy nêu tên các thành phần mà em quan sát được ở các tế bào theo bảng sau:
Đáp án
|
Thành phần tế bào |
Tế bào hành tây |
Tế bào trứng cá |
|
Thành phần quan sát được |
- Thành tế bào - Tế bào chất - Nhân |
- Màng tế bào - Tế bào chất - Nhân |
|
Thành phần không quan sát được |
Ti thể, không bào… |
- Ti thể… |
SBT KHTN 6 trang 36 Câu 21.4
Vẽ và chú thích thành phần của tế bào mà em quan sát được.
Đáp án
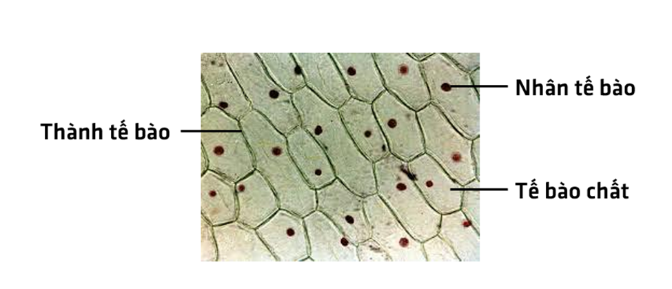
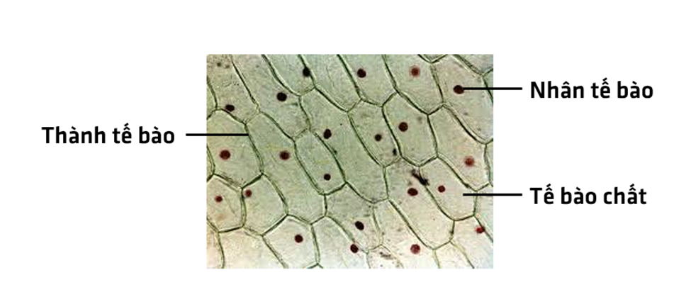
- Tế bào trứng cá:

- Tế bào vảy hành:

SBT KHTN 6 trang 36 Câu 21.5
Trong quá trình làm tiêu bản, em cần lưu ý điều gì? Hãy chia sể kinh nghiệm của em vào bảng dưới đây:
Đáp án
|
STT |
Các hiện tượng cần lưu ý |
Cách khắc phục |
|
1 |
Tiêu bản có bọt khí sau khi đậy lamen |
Hơ tiêu bản qua ngọn lửa đèn cồn nhưng không làm sôi nước |
|
2 |
Các tế bào vảy hành quá sít |
Tách lớp mỏng hơn |
|
3 |
Các tế bào trứng dễ nát |
Thao tác nhẹ nhàng hơn |
>> Bài tiếp theo: Giải SBT KHTN 6 bài 22: Cơ thể sinh vật
Trên đây là toàn bộ lời giải Giải SBT KHTN lớp 6 bài 21: Thực hành sách Kết nối tri thức với cuộc sống. Các em học sinh tham khảo thêm KHTN lớp 6 Chân trời sáng tạo và KHTN lớp 6 Cánh Diều. VnDoc liên tục cập nhật lời giải cũng như đáp án sách mới của SGK cũng như SBT các môn cho các bạn cùng tham khảo.