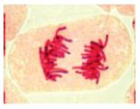
Người ta vẽ được sơ đồ minh họa như hình dưới đây:

Cho biết quá trình phân bào bình thường, không xảy ra đột biến. Hình này mô tả
Vndoc.com xin gửi tới bạn đọc bài viết Trắc nghiệm Sinh 10 Bài 20 CTST để bạn đọc cùng tham khảo.
Trắc nghiệm Sinh 10 Bài 20 CTST được Vndoc tổng hợp gồm 10 câu hỏi trắc nghiệm Sinh học 10 CTST có đáp án kèm theo. Qua bài viết giúp bạn đọc có thể ôn tập lại nội dung kiến thức của bài học. Mời các bạn cùng theo dõi và làm bài trắc nghiệm dưới đây nhé.
Bạn đã HẾT lượt làm bài tập miễn phí! Hãy mua tài khoản VnDoc PRO để làm Trắc nghiệm không giới hạn và tải tài liệu nhanh nhé!
Điểm khả dụng: 0 điểm
Bạn sẽ dùng 50 điểm để đổi lấy 1 lượt làm bài.
Bạn không đủ điểm để đổi.
Người ta vẽ được sơ đồ minh họa như hình dưới đây:

Cho biết quá trình phân bào bình thường, không xảy ra đột biến. Hình này mô tả



Người ta vẽ được sơ đồ minh họa sau đây. Tế bào này đang ở:

Người ta quan sát thấy có 8 nhiễm sắc thể kép xếp thành một hàng ở mặt phẳng xích đạo. Tế bào này đang ở
Điểm khả dụng: 0 điểm
Bạn sẽ dùng 50 điểm để đổi lấy 1 lượt làm bài.
Bạn không đủ điểm để đổi.
Đang tải...
Theo Nghị định 147/2024/ND-CP, bạn cần xác thực tài khoản trước khi sử dụng tính năng này. Chúng tôi sẽ gửi mã xác thực qua SMS hoặc Zalo tới số điện thoại mà bạn nhập dưới đây: