Đề thi thử THPT Quốc gia năm 2017 môn Sinh học trường THPT chuyên Lương Thế Vinh, Đồng Nai (Lần 2)
Đề thi thử THPT Quốc gia 2017 môn Sinh học
Đề thi thử THPT Quốc gia năm 2017 môn Sinh học trường THPT chuyên Lương Thế Vinh, Đồng Nai (Lần 2). Đây là tài liệu tham khảo hay dành cho các bạn học sinh nhằm phục vụ công tác ôn thi THPT Quốc gia môn Sinh học. Mời các bạn cùng tham khảo để ôn thi tốt. Chúc các bạn đạt được kết quả cao trong kì thi sắp tới.
Đề thi thử THPT Quốc gia năm 2017 môn Sinh học trường THPT Hai Bà Trưng, Thừa Thiên Huế
| Sở Giáo dục - Đào tạo Đồng Nai Trường THPT chuyên Lương Thế Vinh |
THI THỬ THPT QUỐC GIA NĂM 2017 - LẦN 2 Mã đề 001 |
Câu 81: Trong kĩ thuật chuyển gen, để nhận biết tế bào nào đã nhận được ADN tái tổ hợp, người ta phải
A. chọn thể truyền có gen đột biến.
B. chọn thể truyền có kích thước lớn.
C. quan sát tế bào dưới kính hiển vi.
D. chọn thể truyền có các gen đánh dấu.
Câu 82: Đặc điểm nào dưới đây không phải là đặc điểm của mã di truyền?
A. sinh giới có chung một bộ mã di truyền.
B. nhiều bộ ba khác nhau qui định một loại axit amin.
C. một bộ ba mã hóa cho nhiều loại axit amin.
D. một bộ ba chỉ mã hóa cho một loại axit amin.
Câu 83: Ở sinh vật nhân thực, cho các cấu trúc và quá trình sau:
(1) Phân tử ADN
(2) Phân tử tARN
(3) Quá trình phiên mã
(4) Quá trình dịch mã
(5) Phân tử mARN
(6) Phân tử rARN
Nguyên tắc bổ sung (G – X, A – U và ngược lại) có trong cấu trúc và quá trình:
A. (1), (2),(3). B. (2), (4), (6). C. (3), (4), (6). D. (2), (5), (4).
Câu 84: Cơ sở tế bào học của hiện tượng hoán vị gen là sự
A. trao đổi đoạn tương ứng giữa 2 crômatit cùng nguồn gốc ở kì đầu của giảm phân I.
B. tiếp hợp giữa các cromatit khác nguồn gốc của cặp nhiễm sắc thể tương đồng ở kì đầu của giảm phân I.
C. trao đổi chéo giữa 2 cromatit khác nguồn gốc của cặp nhiễm sắc thể tương đồng ở kì đầu của giảm phân I
D. tiếp hợp giữa 2 crômatit cùng nguồn gốc ở kì đầu của giảm phân I.
Câu 85: Bệnh ung thư là một căn bệnh đe dọa đến tính mạng của con người trên thế giới hiện nay.Có những
phát biểu về căn bệnh này:
(1) Khối u mà có tế bào ung thư di chuyển theo máu đến nơi khác trong cơ thể gọi là u lành tính.
(2) Bệnh ung thư có thể do đột biến gen phát sinh ngẫu nhiên trong cơ thể, cũng có thể do virut xâm nhập gây ra.
(3) Bệnh ung thư phát sinh trong tế bào sinh dưỡng có khả năng di truyền cho thế hệ sau qua sinh sản hữu tính.
(4) Gen tiền ung thư (gen qui định yếu tố sinh trưởng) là gen lặn. .
(5) Sự đột biến của gen ức chế khối u là đột biến trội.
Những phát biểu đúng là:
A. 2, 4 B. 1, 2 C. 4, 5 D. 3, 4
Câu 86: Khi nói về các yếu tố ngẫu nhiên theo thuyết tiến hóa hiện đại, phát biểu nào sau đây sai?
A. Nếu không xảy ra đột biến và các yếu tố ngẫu nhiên thì không thể làm thay đổi thành phần kiểu gen và tần số alen của quần thể.
B. Một quần thể đang có kích thước lớn, nhưng do các yếu tố bất thường làm giảm kích thước của quần thể một cách đáng kể thì những cá thể sống sót có thể có vốn gen khác với vốn gen của quần thể ban đầu.
C. Với quần thể có kích thước càng nhỏ thì các yếu tố ngẫu nhiên càng dễ làm thay đổi tần số alen của quần thể và ngược lại.
D. Kết quả tác động của các yếu tố ngẫu nhiên có thể dẫn đến làm nghèo vốn gen của quần thể, làm giảm sự đa dạng di truyền.
Câu 87: Các bệnh, tật và hội chứng di truyền nào sau đây ở người có thể gặp ở cả nam và nữ?
(1) Bệnh phêninkêto niệu.
(2) Bệnh ung thư máu.
(3) Tật có túm lông ở vành tai.
(4) Bệnh mù màu.
(5) Hội chứng Tơcnơ.
(6) Bệnh máu khó đông.
Phương án đúng là
A. (1), (2), (4) (6). B. (2), (3), (5), (6). C. (1), (3), (4), (5). D. (3), (4), (5), (6).
Câu 88: Khi nói về quần thể tự thụ phấn, phát biểu nào sau đây đúng?
A. Trên thực tế, quần thể tự thụ phấn thường bao gồm các dòng thuần chủng về các kiểu gen khác nhau.
B. Tự thụ phấn qua nhiều thế hệ luôn dẫn đến hiện tượng thoái hóa giống.
C. Tự thụ phấn qua nhiều thế hệ làm tăng tần số của các alen lặn, giảm tần số của các alen trội.
D. Quần thể thực vật tự thụ phấn thường đa dạng di truyền hơn các quần thể giao phối ngẫu nhiên.
Câu 89: Cho các mức độ cấu trúc sau:
(1) crômatit
(2) sợi cơ bản
(3) ADN xoắn kép
(4) sợi nhiễm sắc
(5) sợi siêu xoắn
(6) nuclêôxôm
Trong cấu trúc siêu hiển vi của NST nhân thực thì trình tự nào sau đây là đúng?
A. 3-6-4-2-5-1 B. 3-6-2-4-5-1 C. 3-2-6-4-5-1 D. 3-2-4-1-5-6
Câu 90: Phát biểu nào dưới đây đúng khi nói về mức phản ứng?
A. Mức phản ứng là hiện tượng một kiểu gen có thể thay đổi kiểu hình trước các điều kiện môi trường khác nhau.
B. Mức phản ứng là tập hợp các kiểu hình của cùng một kiểu gen tương ứng với các môi trường khác nhau.
C. Để xác định mức phản ứng của một kiểu gen, trước tiên phải tạo ra các cá thể có kiểu gen thuần chủng.
D. Mức phản ứng không liên quan đến kiểu gen vì vậy không di truyền được cho thế hệ sau.
Câu 91: Có bao nhiêu nhận xét sau đây đúng về quá trình phiên mã ở sinh vật nhân thực?
(1) Diễn ra theo nguyên tắc bán bảo tồn.
(2) Enzym tham gia vào quá trình này là enzym ARN polimeraza.
(3) Diễn ra chủ yếu trong nhân của tế bào.
(4) Quá trình diễn ra theo nguyên tắc bổ sung ( A-U, G-X).
A. 3 B. 1 C. 2 D. 4
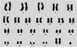
Câu 92: Hình bên là ảnh chụp bộ nhiễm sắc thể bất thường ở một người. Người mang bộ nhiễm sắc thể này

A. mắc hội chứng Tớcnơ.
B. mắc bệnh hồng cầu hình lưỡi liềm.
C. mắc hội chứng Đao.
D. mắc hội chứng Claiphentơ.
Câu 93: Đặc điểm nào sau đây không phải do gen trên vùng không tương đồng của NST X quy định?
A. Tỉ lệ kiểu hình phân bố không đều ở 2 giới đối với cả F1 và F2.
B. Có hiện tượng di truyền chéo.
C. Tính trạng lặn xuất hiện nhiều hơn ở giới XY.
D. Lai thuận cho kết quả khác lai nghịch ở cả F1 và F2.
Câu 94: Sự mềm dẻo kiểu hình (thường biến) là một loại biến dị giúp sinh vật thích nghi với sự thay đổi của điều kiện môi trường. Nội dung nào sai khi nói về sự mềm dẻo kiểu hình?
A. Sự mềm dẻo kiểu hình không di truyền được qua các thế hệ.
B. Là hiện tượng kiểu hình của một cơ thể có thể thay đổi trước các điều kiện môi trường khác nhau.
C. Do sự tự điều chỉnh về sinh lý giúp sinh vật thích nghi với môi trường.
D. Mức độ mềm dẻo kiểu hình không phụ thuộc vào kiểu gen.
Câu 95: Có bao nhiêu nhận xét sau đúng đối với quá trình dịch mã ở sinh vật nhân thực?
(1) Ribôxôm giữ vai trò làm khung đỡ cho mARN và phức hợp a.a – tARN.
(2) Ribôxôm di chuyển trên mARN theo chiều từ 5' → 3.
(3) Diễn ra theo nguyên tắc bổ sung (A-T, G-X và ngược lại).
(4) Xảy ra ở tế bào chất.
(5) 1 phân tử mARN dịch mã tạo 1 loại chuỗi polipeptit.
(6) Gồm quá trình hoạt hóa axit amin và tổng hợp chuỗi polipeptit.
(7) Trong quá trình dịch mã, tARN đóng vai trò như "người phiên dịch".
A. 4 B. 6 C. 5 D. 3
Câu 96: Trong tế bào động vật, sự nhân đôi của ADN xảy ra ở
A. Lục lạp, nhân, trung thể.
B. Ti thể, nhân, lục lạp.
C. Nhân, trung thể.
D. Nhân, ti thể.
Câu 97: Phát biểu nào sau đây về đột biến gen là đúng?
A. Tạo ra nhiều locut gen mới, cung cấp nguyên liệu cho chọn giống và tiến hóa.
B. Chỉ xảy ra dưới tác động của các tác nhân gây đột biến.
C. Xét ở mức độ phân tử phần nhiều đột biến điểm thường vô hại (trung tính).
D. Hậu quả đột biến gen phụ thuộc vào cường độ, liều lượng loại tác nhân gây đột biến và đặc điểm cấu trúc của gen.
Câu 98: Khi sử dụng virut làm thể truyền trong liệu pháp gen để chữa các bệnh di truyền, hiện nay người ta gặp phải khó khăn là
A. virut không thể xâm nhập đúng vào tế bào mắc bệnh.
B. virut không xâm nhập được vào tế bào người
C. virut có thể làm hư hỏng các gen lành.
D. không thể gắn gen người vào virut.
Câu 99: Phương pháp tạo giống nào sau đây được áp dụng cho tất cả các đối tượng chọn giống (thực vật, động vật và vi sinh vật)?
A. Tạo giống bằng công nghệ tế bào.
B. Tạo giống nhờ công nghệ gen.
C. Tạo giống bằng phương pháp gây đột biến.
D. Tạo giống dựa trên nguồn biến dị tổ hợp.
Câu 100: Đột biến lệch bội xảy ra do
A. một hoặc một số cặp nhiễm sắc thể không phân li trong phân bào.
B. một số cặp nhiễm sắc thể không phân li trong giảm phân.
C. một cặp nhiễm sắc thể không phân li trong nguyên phân.
D. một cặp nhiễm sắc thể không phân li trong giảm phân.
Câu 101: Trong quá trình phát sinh và phát triển của sinh giới qua các đại địa chất, thực vật đã phát sinh ở
A. kỉ Cacbon B. kỉ Ocđôvic C. kỉ Silua D. kỉ Krêta (phấn trắng)
Câu 102: Cho chuỗi thức ăn sau: Lúa -> châu chấu -> nhái -> gà -> cáo. Tiêu diệt mắt xích nào trong các mắt xích sau sẽ gây hậu quả lớn nhất?
A. Châu chấu. B. Nhái. C. Gà. D. Cáo
Câu 103: Khi đề xuất giả thuyết mỗi tính trạng do một cặp nhân tố di truyền quy định, các nhân tố di truyền trong tế bào không hoà trộn vào nhau và phân li đồng đều về các giao tử. Menđen đã kiểm tra giả thuyết của mình bằng cách nào?
A. Cho F2 tự thụ phấn. B. Cho F1 lai phân tích.
C. Cho F1 tự thụ phấn. D. Cho F1 giao phấn với nhau.
Câu 104: Có bao nhiêu nhận xét sau đây đúng khi nói về quá trình tạo giống?
(1) Lai xa kèm đa bội hóa, dung hợp tế bào trần khác loài tạo thể song nhị bội.
(2) Để tạo ra giống mới có thể dùng phương pháp nhân bản vô tính, cấy truyền phôi.
(3) Phương pháp tạo giống bằng gây đột biến được áp dụng chủ yếu ở động vật và vi sinh vật.
(4) Nhân bản vô tính ở động vật tạo ra cá thể có kiểu hình giống với kiểu hình của cá thể cho nhân.
(5) Nhân giống bằng phương pháp cấy truyền phôi tạo ra các cá thể có cùng kiểu gen, cùng giới tính.
A. 3 B. 2 C. 4 D. 1
Câu 105: Sự hình thành loài mới theo Đacuyn:
A. Là quá trình cải biến thành phần kiểu gen của quần thể gốc, tạo ra kiểu gen mới, cách li sinh sản với quần thể gốc.
B. Loài mới được hình thành từ từ qua nhiều dạng trung gian, thông qua việc tích luỹ các biến đổi nhỏ trong một thời gian dài tương ứng với sự thay đổi của ngoại cảnh.
C. Loài mới có thể được hình thành một cách nhanh chóng do các đột biến lớn.
D. Loài mới được hình thành qua nhiều dạng trung gian dưới tác dụng của chọn lọc tự nhiên, theo con đường phân ly tính trạng.
Câu 106: Khi nói về chọn lọc tự nhiên theo quan niệm hiện đại, phát biểu nào sau đây là đúng?
A. Chọn lọc tự nhiên làm thay đổi tần số alen của quần thể vi khuẩn chậm hơn so với quần thể sinh vật lưỡng bội.
B. Chọn lọc tự nhiên không bao giờ đào thải hết alen trội gây chết ra khỏi quần thể.
C. Chọn lọc tự nhiên tác động trực tiếp lên kiểu gen, từ đó làm thay đổi tần số alen của quần thể.
D. Chọn lọc chống lại alen lặn làm thay đổi tần số alen chậm hơn so với chọn lọc chống lại alen trội.
Câu 107: Ở những loài ít có khả năng bảo vệ vùng sống như thỏ, hươu, nai,... thì yếu tố nào sau đây ảnh hưởng rõ rệt
nhất đến sự biến động số lượng cá thể trong quần thể?
A. Số lượng kẻ thù ăn thịt.
B. Sự cạnh tranh giữa các cá thể cùng một đàn.
C. Sự phát tán của các cá thể.
D. Sức sinh sản và mức độ tử vong.
Câu 108: Trong điều kiện của Trái Đất hiện nay, nếu các đại phân tử hữu cơ được hình thành trong tự nhiên thì từ các chất này có thể tiến hóa hình thành nên các tế bào sơ khai được không? Vì sao?
A. Không, vì điều kiện của Trái Đất hiện nay không có đủ phân tử hữu cơ trong đại dương.
B. Không, vì điều kiện của Trái Đất hiện nay chất hữu cơ sẽ bị phân hủy bởi ôxi tự do hoặc các vi sinh vật.
C. Không, vì điều kiện của Trái Đất hiện nay không có đủ năng lượng để tổng hợp các chất hữu cơ.
D. Không, vì điều kiện của Trái Đất hiện nay không có đủ các chất vô cơ như thời nguyên thủy.
Câu 109: Phép lai giữa 2 cơ thể dị hợp về 2 cặp gen (Aa, Bb), các gen tương tác với nhau sẽ cho đời con số loại kiểu hình nhiều nhất là
A. 9 B. 6 C. 4 D. 5
Câu 110: Khi khảo sát sự di truyền của hai cặp tính trạng hình dạng và vị quả ở một loài, người ta cho P tự thụ phấn thu được F1 có sự phân li kiểu hình: 38,25%cây quả dẹt, vị ngọt: 18% cây quả dẹt, vị chua: 30,75% cây quả tròn, vị ngọt: 6,75% cây quả tròn, vị chua: 6% cây quả dài, vị ngọt: 0,25% cây quả dài, vị chua. Biết tính trạng vị quả do 1 cặp gen qui định. Nếu cho các cây dài, vị ngọt ở F1 giao phấn với nhau thu được F2, theo lí thuyết tỉ lệ cây quả dài, vị chua ở F2 là bao nhiêu?
A. 1/12 B. 1/100 C. 1/36 D. 1/6
Câu 111: Ở người gen A quy định da bình thường trội hoàn toàn so với alen a: da bạch tạng, cặp gen này nằm trên NST thường; gen M quy định màu mắt bình thường trội hoàn toàn so với alen m: mù màu, cặp gen này nằm trên NST X không có alen tương ứng trên Y. Trong 1 gia đình có bố mẹ bình thường cả 2 tính trạng nhưng có con trai bị cả 2 bệnh trên và mang hội chứng Claiphenter. Biết rằng không xảy ra đột biến gen và đột biến cấu trúc NST. Kiểu gen của mẹ, bố và nguyên nhân gây bệnh cho con là
A. Aa XMXm x AaXMY, đột biến trong giảm phân 1 ở mẹ.
B. Aa XMXm x AaXMY, đột biến trong giảm phân 1 ở bố.
C. Aa XMXm x AaXMY, đột biến trong giảm phân 2 ở mẹ.
D. Aa XMXm x AaXMY, đột biến trong giảm phân 2 ở bố.
Câu 112: Tài nguyên nào sau đây thuộc tài nguyên không tái sinh?
A. Tài nguyên sinh vật. B. Tài nguyên khoáng sản.
C. Tài nguyên đất. D. Tài nguyên nước.
Câu 113: Ở một loài động vật, tính trạng màu sắc lông do hai gen không alen phân li độc lập quy định. Trong kiểu gen đồng thời có mặt gen A và B quy định lông đen; khi kiểu gen chỉ có một trong hai gen A hoặc B quy định lông xám; kiểu gen không có cả hai gen A và B cho kiểu hình lông trắng. Cho cá thể lông xám giao phối với lông đen thu được F1 kiểu hình phân li theo tỉ lệ: 50% lông đen : 50% lông xám. Có bao nhiêu phép lai có thể xảy ra? Biết rằng không xảy ra đột biến, quá trình giảm phân diễn ra bình thường.
A. 5 B. 8 C. 4 D. 6
Câu 114: Bệnh bạch tạng do gen lặn nằm trên NST thường qui định, bệnh mù màu đỏ do gen lặn nằm trên NST X không có alen trên Y qui định. Một cặp vợ chồng đều không bị hai bệnh này, người vợ có ông ngoại bị mù màu, có mẹ bị bạch tạng. Người chồng có ông nội và mẹ bị bạch tạng. những người khác trong 2 dòng họ này đều không bị 2 bệnh nói trên. Cặp vợ chồng này dự định sinh 2 con, xác suất để cả 2 đứa con của họ đều không bị bệnh là
A. 225/1024 B. 81/512 C. 225/512 D. 441/1024
Câu 115: Ở ruồi giấm, alen A quy định mắt màu đỏ, alen a quy định mắt màu trắng nằm trên vùng không tương đồng của X. Tần số kiểu gen của quần thể ở thế hệ xuất phát
P: 0,32XAXA + 0,16XAXa + 0,02XaXa + 0,25XAY + 0,25XaY =1.
Giả sử qua nhiều thế hệ không phát sinh đột biến.
Nhận xét nào sau đây đúng?
(1) Các cá thể của quần thể giao phối ngẫu nhiên với nhau thì tần số alen a của giới đực ở F2 là 0,35.
(2) Quần thể trên ngẫu phối qua 2 thế hệ sẽ đạt trạng thái cân bằng di truyền.
(3) Tần số alen A của quần thể (P) là 0,7.
(4) Nếu cho các cá thể mắt đỏ ở P giao phối với nhau thì tỉ lệ kiểu hình mắt trắng ở F1 là 1/12.
A. 0 B. 2 C. 1 D. 3
Câu 116: Trong hệ sinh thái ở một khu rừng nhiệt đới, ánh sáng môi trường cung cấp 106 kcal/m2/ngày nhưng thực vật chỉ sử dụng được 3,5%, năng lượng mất đi do hô hấp 90%. Sinh vật tiêu thụ bậc 1 sử dụng được 35 kcal, sinh vật tiêu thụ bậc 2 sử dụng được 3,5 kcal, sinh vật tiêu thụ bậc 3 sử dụng được 0,52kcal. Hiệu suất sinh thái giữa bậc dinh dưỡng cấp 2 với bậc dinh dưỡng cấp 1 và giữa bậc dinh dưỡng cấp 4 với bậc dinh dưỡng cấp 3 lần lượt là
A. 10% và 10%. B. 10% và 14,9%. C. 1% và 10%. D. 1% và 14,9%.
Câu 117: Có nhiều giải pháp giúp sự phát triển bền vững tài nguyên thiên nhiên, có bao nhiêu giải pháp sau đây đúng?
(1) Thoả mãn nhu cầu hiện tại nhưng không ảnh hưởng đến việc thoả mãn nhu cầu của các thế hệ tương lai.
(2) Trong khai thác nguồn lợi sinh vật phải duy trì được đa dạng sinh học, không gây nên tình trạng mất cân bằng sinh học của các hệ sinh thái cơ bản.
(3) Tái sử dụng, tái chế và tiết kiệm tài nguyên không tái tạo phải được xem là một nguyên tắc.
(4) Kiểm soát sự gia tăng dân số, nâng cao chất lượng cuộc sống của con người.
Số phát biểu đúng:
A. 3 B. 2 C. 4 D. 1
Câu 118: Ở chuột, gen B qui định đuôi ngắn cong, gen b qui định đuôi bình thường, gen S qui định thân có sọc sẫm, gen s qui định màu thân bình thường, các gen này liên kết trên NST giới tính X, một số chuột đực chứa cả hai gen lặn b và s bị chết ở giai đoạn phôi. Cho chuột cái P có kiểu gen XBS Xbs lai với chuột đực có kiểu gen XBSY thu được F1 có 203 chuột đuôi ngắn cong, thân có sọc sẫm; 53 chuột có kiểu hình bình thường; 7 chuột đuôi bình thường, thân có sọc sẫm và 7 chuột đuôi ngắn cong, màu thân bình thường. Biết tần số hoán vị gen xảy ra ở chuột cái (P) là 10%.
Cho các nhận xét sau:
(1) Có 15 con chuột bị chết ở giai đoạn phôi.
(2) F1 có 5 kiểu gen qui định chuột đuôi ngắn cong, thân có sọc sẫm.
(3) Có 9 kiểu gen ở F1.
(4) Trong số chuột đuôi ngắn cong, thân có sọc sẫm ở F1 thì chuột đực chiếm tỉ lệ 9/29.
Có bao nhiêu nhận xét trên đúng?
A. 1 B. 4 C. 2 D. 3
Câu 119: Nguyên nhân dẫn tới phân ly ổ sinh thái của các loài trong quần xã là
A. mỗi loài ăn một loại thức ăn khác nhau.
B. cạnh tranh khác loài.
C. mỗi loài kiếm ăn ở vị trí khác nhau.
D. mỗi loài kiếm ăn vào một thời gian khác nhau trong ngày.
Câu 120: Sơ đồ bên minh họa lưới thức ăn trong một hệ sinh thái gồm các loài sinh vật: A, B, C, D, E, G, H. Cho các kết luận sau về lưới thức ăn này, kết luận nào đúng?

A. Có 3 loài thuộc bậc dinh dưỡng cấp 4.
B. Loài C tham gia vào 4 chuỗi thức ăn khác nhau.
C. Loài D tham gia vào ít chuỗi thức ăn hơn loài E.
D. Lưới thức ăn này có tối đa 7 chuỗi thức ăn (với mắc xích đầu tiên là A và mắc xích cuối cùng là H).
Đáp án đề thi thử THPT Quốc gia năm 2017 môn Sinh học
|
81. D 82. C 83. B 84. C 85. A 86. A 87. A 88. A 89. B 90. B |
91. C 92. D 93. A 94. D 95. B 96. D 97. C 98. C 99. B 100. A |
101. B 102. A 103. B 104. A 105. D 106. D 107. A 108. B 109. D 110. C |
111. C 112. B 113. D 114. C 115. D 116. D 117. C 118. C 119. B 120. A |