Những hội chứng nào sau đây do đột biến gene gây ra?
Các hội chứng do đột biến gene gây ra là: hội chứng Fragile X, Dravet (một loại bệnh động kinh),...
Cùng nhau luyện tập củng cố kiến thức bài học Di truyền học với con người tại đây nha!
Những hội chứng nào sau đây do đột biến gene gây ra?
Các hội chứng do đột biến gene gây ra là: hội chứng Fragile X, Dravet (một loại bệnh động kinh),...
Cổ ngắn, khe mắt xếch, mắt một mí, lưỡi dày và hơi thè ra, giảm trương lực cơ, trí tuệ kém phát triển, thường di tật bẩm sinh, khoảng cách giữa hai mắt xa nhau, mũi thấp,... là các biểu hiện của hội chứng nào sau đây?
Cổ ngắn, khe mắt xếch, mắt một mí, lưỡi dày và hơi thè ra, giảm trương lực cơ, trí tuệ kém phát triển, thường di tật bẩm sinh, khoảng cách giữa hai mắt xa nhau, mũi thấp,... là các biểu hiện của hội chứng Down.
Tại sao kết hôn gần làm suy thoái nòi giống?
Kết quả nghiên cứu di truyền trên quần thể người cho thấy những người có họ hàng thân thuộc thường mang một số gene giống nhau, trong đó có các gene lặn có hại; do đó, khoảng 20 - 30% số con của những cặp vợ chồng kết hôn cận huyết chết non hoặc mắc các bệnh, tật di truyền → suy thoái nòi giống.
Trong các tế bào sinh dưỡng của người mắc hội chứng Turner có số lượng nhiễm sắc thể là
Trong các tế bào sinh dưỡng của người mắc hội chứng Turner có số lượng nhiễm sắc thể là 45.
Tỉ lệ giới tính khi sinh ở Việt Nam là
Tỉ lệ giới tính khi sinh ở Việt Nam là 1,12 : 1.
Những bất thường bẩm sinh có thể biểu hiện trong quá trình phát triển phôi thai, ngay từ khi mới sinh hoặc ở giai đoạn muộn hơn được gọi là
Những bất thường bẩm sinh có thể biểu hiện trong quá trình phát triển phôi thai, ngay từ khi mới sinh hoặc ở giai đoạn muộn hơn được gọi là tật di truyền.
Lí do làm cho tỉ lệ trẻ mắc bệnh Down có tỉ lệ gia tăng theo tuổi của người mẹ là do
Tỉ lệ trẻ mắc bệnh Down có tỉ lệ gia tăng theo tuổi của người mẹ là do tế bào bị lão hóa làm cho sự phân li nhiễm sắc thể bị rối loạn, tạo thành giao tử đột biến có 2 nhiễm sắc thể số 21.
Tại Việt Nam, một trong những bệnh di truyền phổ biến do hôn nhân cận huyết là tan máu di truyền (thalassemia). Có khoảng bao nhiêu phần trăm dân số Việt Nam mang gene bệnh này?
Tại Việt Nam, một trong những bệnh di truyền phổ biến do hôn nhân cận huyết là tan máu di truyền (thalassemia). Người bệnh có biểu hiện thiếu máu, ứ đọng sắt trong cơ thể, biến dạng xương mặt và tỉ lệ tử vong cao. Có khoảng 13% dân số Việt Nam mang gene bệnh thalassemia.
Biện pháp nào dưới đây không phải là biện pháp bảo vệ vốn gene của loài người?
Biện pháp không giúp bảo vệ vốn gene loài người là sinh đẻ có kế hoạch và bảo vệ sức khỏe vị thành niên (chỉ bình ổn dân số).
Ở người, tính trạng nào sau đây di truyền có liên quan đến giới tính?
Bệnh máu khó đông di truyền có liên quan đến giới tính.
Ở người, hội chứng nào sau đây không liên quan đến đột biến số lượng nhiễm sắc thể?
Hội chứng Fragile X do đột biến gene gây ra.
Đối với hôn nhân, di truyền học có vai trò:
Đối với hôn nhân, di truyền học có vai trò chẩn đoán, cung cấp thông tin về khả năng mắc các bệnh di truyền ở đời con của các gia đình đã có tiền sử mắc bệnh.
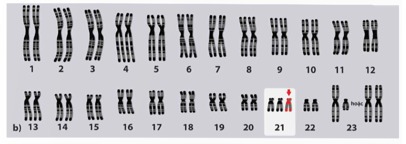
Quan sát bộ nhiễm sắc thể dưới đây và cho biết người này mắc hội chứng gì?

Quan sát bộ nhiễm sắc thể ta thấy thể ba ở cặp nhiễm sắc thể số 21 → người này bị mắc hội chứng Down.
Ở người bệnh mù màu là do gene lặn nằm trên nhiễm sắc thể giới tính X quy định, trên Y không mang gene này. Một trong những đặc điểm của bệnh này là
Với nam giới chỉ cần có mặt một gene lặn là đã bị bệnh. Còn nữ giới thÌ cần hai gene lặn mới biểu hiện thành bệnh.
→ Một trong những đặc điểm của bệnh này là dễ xuất hiện ở nam giới hơn nữ.
Theo Luật Hôn nhân và gia đình năm 2014 của Việt Nam, người từ độ tuổi nào thì được phép kết hôn?
Theo Luật Hôn nhân và gia đình năm 2014 của Việt Nam, nam từ đủ 20 tuổi trở lên, nữ từ đủ 18 tuổi trở lên thì được phép kết hôn.
Theo Nghị định 147/2024/ND-CP, bạn cần xác thực tài khoản trước khi sử dụng tính năng này. Chúng tôi sẽ gửi mã xác thực qua SMS hoặc Zalo tới số điện thoại mà bạn nhập dưới đây: