Giao diện mới của VnDoc Pro: Dễ sử dụng hơn - chỉ tập trung vào lớp bạn quan tâm. Vui lòng chọn lớp mà bạn quan tâm: Lưu và trải nghiệm
Đóng
Điểm danh hàng ngày
  • Hôm nay +3
  • Ngày 2 +3
  • Ngày 3 +3
  • Ngày 4 +3
  • Ngày 5 +3
  • Ngày 6 +3
  • Ngày 7 +5
Bạn đã điểm danh Hôm nay và nhận 3 điểm!
Nhắn tin Zalo VNDOC để nhận tư vấn mua gói Thành viên hoặc tải tài liệu Hotline hỗ trợ: 0936 120 169

Trắc nghiệm Sinh 10 Bài 20 CTST

Đóng
Bạn đã dùng hết 1 lần làm bài Trắc nghiệm miễn phí. Mời bạn mua tài khoản VnDoc PRO để tiếp tục! Tìm hiểu thêm
Mô tả thêm:

Trắc nghiệm Sinh 10 Bài 20 CTST Online

VnDoc.com xin gửi tới bạn đọc bài viết Trắc nghiệm Sinh 10 Bài 20 CTST để bạn đọc cùng tham khảo.

Trắc nghiệm Sinh 10 Bài 20 CTST được VnDoc tổng hợp gồm 10 câu hỏi trắc nghiệm Sinh học 10 CTST có đáp án kèm theo. Qua bài viết giúp bạn đọc có thể ôn tập lại nội dung kiến thức của bài học. Mời các bạn cùng theo dõi và làm bài trắc nghiệm dưới đây nhé.

  • Số câu hỏi: 10 câu
  • Số điểm tối đa: 10 điểm
Bắt đầu làm bài
Bạn còn 1 lượt làm bài tập miễn phí. Hãy mua tài khoản VnDoc PRO để học không giới hạn nhé! Bạn đã HẾT lượt làm bài tập miễn phí! Hãy mua tài khoản VnDoc PRO để làm Trắc nghiệm không giới hạn và tải tài liệu nhanh nhé!
Mua ngay Đổi điểm
Trước khi làm bài bạn hãy
  • 1 Ôn tập kiến thức đã nêu trong phần Mô tả thêm
  • 2 Tìm không gian và thiết bị phù hợp để tập trung làm bài
  • 3 Chuẩn bị sẵn dụng cụ cần dùng khi làm bài như bút, nháp, máy tính
  • 4 Căn chỉnh thời gian làm từng câu một cách hợp lý
  • Câu 1: Nhận biết

    Câu 1: Sử dụng mẫu vật là các tế bào mô phân sinh ở đỉnh rễ hành có thể quan sát được quá trình nào sau đây?

  • Câu 2: Nhận biết

    Câu 2: Cho các thao tác thực hiện thí nghiệm sau:

    (1) Ngâm 4 – 5 rễ hành cho vào đĩa đồng hồ cùng với dung dịch carmin acetic, đun nóng trên đèn cồn (6 phút) rồi chờ 30 – 40 phút để các rễ được nhuộm màu.

    (2) Đặt lên phiến kính một giọt acetic acid 5 %, dùng kim mũi mác lấy rễ hành đặt lên phiến kính, dùng dao lam cắt một đoạn mô phân sinh ở đầu chóp rễ chừng 1,5 – 2 mm.

    (3) Đậy lá kính lên vật mẫu, dùng giấy lọc hút acid thừa, dùng cán kim mũi mác gõ nhẹ lên lá kính để dàn mỏng tế bào mô phân sinh trên phiến kính.

    (4) Đưa tiêu bản lên kính hiển vi quan sát ở vật kính 40×, sau đó chuyển sang quan sát ở vật kính 10×.

    Trong các thao tác trên, có bao nhiêu thao tác không đúng khi thực hiện làm tiêu bản và quan sát quá trình nguyên phân của rễ hành?

  • Câu 3: Nhận biết

    Câu 3: Quan sát một tế bào ruồi giấm đang trong quá trình phân bào nguyên phân, người ta quan sát thấy có 8 nhiễm sắc thể kép xếp thành một hàng ở mặt phẳng xích đạo. Tế bào này đang ở

  • Câu 4: Nhận biết

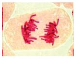
    Câu 4: Tế bào trong hình dưới đây đang ở kì nào của quá trình nguyên phân?

    Trắc nghiệm Sinh 10 Bài 20

  • Câu 5: Nhận biết

    Câu 5: Tế bào trong hình dưới đây đang ở kì nào của quá trình nguyên phân?

    Trắc nghiệm Sinh 10 Bài 20

  • Câu 6: Nhận biết

    Câu 6: Cho các mẫu vật sau đây:

    (1) Rễ hành

    (2) Thịt quả cà chua

    (3) Bao phấn

    (4) Lá thài lài tía

    Số mẫu vật trong các mẫu vật trên có thể sử dụng để quan sát quá trình giảm phân là

  • Câu 7: Nhận biết

    Câu 7: Cho các thao tác thực hiện thí nghiệm sau:

    (1) Dùng kim nhọn tách lấy bao phấn rồi cố định mẫu trong dung dịch Carnoy trong 15 phút.

    (2) Lấy 3 bao phấn đặt lên phiến kính, dầm bao phấn bằng kim nhọn.

    (3) Ngâm trong HCl 1,5N trong 5 phút, nhuộm bằng aceto-orcein 2 % trong 20 phút.

    (4) Hút hết phẩm nhuộm thừa, nhỏ 1 giọt acetic acid 5 %, đậy lá kính và dùng ngón tay cái ấn nhẹ để dàn đều tế bào.

    (5) Quan sát tiêu bản ở các vật kính 10×, 40×.

    Trình tự các thao tác để quan sát quá trình giảm phân ở tế bào bao phấn là

  • Câu 8: Nhận biết

    Câu 8: Theo dõi quá trình phân bào ở một cơ thể sinh vật lưỡng bội bình thường, người ta vẽ được sơ đồ minh họa như hình dưới đây:

    Trắc nghiệm Sinh 10 Bài 20

    Cho biết quá trình phân bào bình thường, không xảy ra đột biến. Hình này mô tả

  • Câu 9: Nhận biết

    Câu 9: Tế bào trong hình dưới đây đang ở kì nào của quá trình giảm phân?

    Trắc nghiệm Sinh 10 Bài 20

  • Câu 10: Nhận biết

    Câu 10: Theo dõi quá trình phân bào ở một cơ thể sinh vật lưỡng bội bình thường, người ta vẽ được sơ đồ minh họa sau đây. Tế bào này đang ở

    Trắc nghiệm Sinh 10 Bài 20

Chúc mừng Bạn đã hoàn thành bài!

Trắc nghiệm Sinh 10 Bài 20 CTST Kết quả
  • Thời gian làm bài: 00:00:00
  • Số câu đã làm: 0
  • Điểm tạm tính: 0
  • Điểm thưởng: 0

Đấu trường Sinh 10 Bài 20 CTST

Đang tìm đối thủ...

Đang tải...

Xác thực tài khoản!

Theo Nghị định 147/2024/ND-CP, bạn cần xác thực tài khoản trước khi sử dụng tính năng này. Chúng tôi sẽ gửi mã xác thực qua SMS hoặc Zalo tới số điện thoại mà bạn nhập dưới đây:

Số điện thoại chưa đúng định dạng!
Số điện thoại này đã được xác thực!
Bạn có thể dùng Sđt này đăng nhập tại đây!
Lỗi gửi SMS, liên hệ Admin
Sắp xếp theo